Cosmetic Dentistry
We will take study models, digital photographs and other measurements to determine the overall plan for improvement. Then, we will show you exactly how your new smile will look after reconstruction.
Here are some examples of cosmetic dentistry.
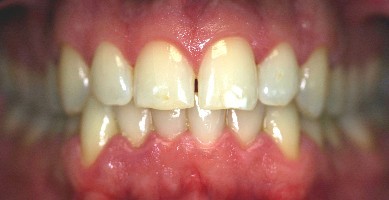
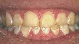
Before
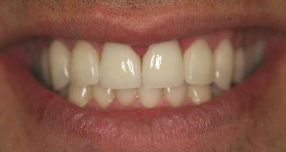
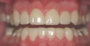
After


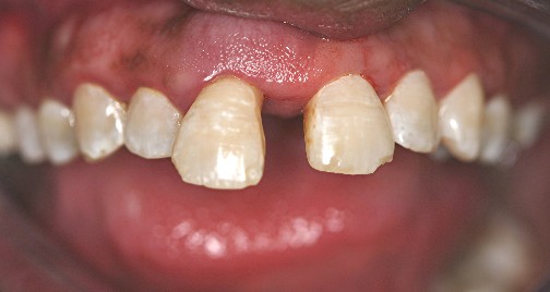
Before

The new bridge

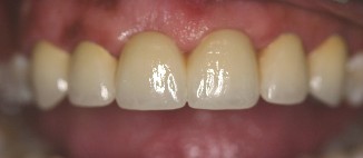
After
Before

Before

After
Note: This case was done entirely with Cerinate Veneers.
CLICK HERE for Free Report on how to achieve the Perfect Smile.
Procedures involved in cosmetic dentistry include:
refer to individual caps on specific teeth. These may be all porcelain, or a combination of porcelain and metal.Generally, crowns are permanent, although patient diet, home care, and dental maintenance can have an effect on their longevity.
are multiple teeth connected together to form one chewing unit. They may be from three to more teeth in size. Typically, they are cemented in place and are generally permanent. are laminated porcelain facings that are made in a dental lab and cemented over the front of your natural teeth. This procedure is especially attractive to people who have discolored teeth, but don't want to have their teeth prepared for conventional crowning. refers to facings, like the veneers above, only using plastic resin, rather than porcelain. And, they are made right on the spot, without a dental lab involved.The advantage of bonding is that there is usually no anesthetic or tooth preparation involved. The disadvantage is that, because they are resins, they do not last as long as veneers, and they can discolor with age.
are titanium screws placed in your jawbone, usually by a periodontist, which provide a false root to place a new crown or bridge on. They replace broken or extracted teeth and are very effective in restoring natural looks and function. , both partial and full, are an affordable alternative to implants. The benefits are ease of production and relative less expense. The disadvantages include less chewing strength and an unnatural feel and taste.If you would like to learn more about cosmetic dentistry, please contact us - either by phone or online. We will schedule an examination appointment right away.
Our telephone number is
0803-318-1698.Best Regards,
Dr.
Wale Adeleke CLICK HERE
| Dental Emergencies | Bad Breath | Patient Education | Newsletter | About Dr. Adeleke | About Our Office | Map | Dental Resources | Our Guarantee | Gag Reflex Relief | Value Certified | Dental Health Insurance | Payment Plans | Contact Us
Copyright © 2023 Dr. Wale Adeleke BDS. All Rights reserved.