Dental Implants are an excellent way to replace a missing or broken teeth. They are reliable, strong, and easy to maintain.
This is a model of a single dental implant

As you can see, the dental implant itself goes down into the bone, and the part that extends above the bone is what we place the crown on.
The use of dental implants is now the standard of care for missing teeth, denture replacement, and cosmetic dental care. They can be used for single tooth replacements, or multiple teeth replacements. In either case, the result is a dramatic improvement in your chewing ability, oral health, and smile.
CLICK HERE to get your FREE copy of our special Dental Implant Report.
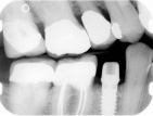
Radiographically, a dental implant looks like this:


Implant in bone Implant with crown attached
Here is an example of a single dental implant, where there are other missing teeth.

This is an example of multiple dental implants.

This is how the finished result would look.

Dental implants are very effective on the lower arch, where a removable partial denture might be considered. By using implants, a better bite is possible, as well as better stimulation to the bone.
Here is an example of how a lower implant case might look.

Finally, dental implants can be used to replace a full lower denture. By replacing dentures with implants, patients benefit from improved retention, chewing, esthetics and bone density.
Dental implants have definitely come of age. Success rates are approaching 100%, and dentists are replacing everything from single teeth to whole arches of missing teeth.
If you have questions about dental implants, please...
I will get back to you promptly.
CLICK HERE to get your FREE copy of our special Dental Implant Report.
More information . . .
For a complimentary examination appointment, to see if dental implants would be right for you, please contact us online or call 0803-318-1698.
We'll answer any questions you may have, and give you a free written estimate regarding costs and insurance benefits before you leave.
Call us today!
Dr. Wale Adeleke
| Dental Emergencies | Bad Breath | Patient Education | Newsletter | About Dr. Adeleke | About Our Office | Map | Dental Resources | Our Guarantee | Gag Reflex Relief | Value Certified | Dental Health Insurance | Payment Plans | Contact Us
Copyright © 2023 Dr. Wale Adeleke BDS. All Rights reserved.