Smile
Gallery
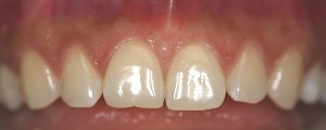
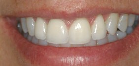
Case Number 1 -
Cerinate Lumineers

Before

After
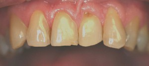
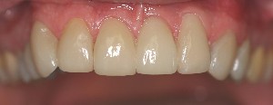
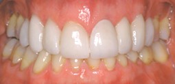
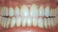
Case Number 2 -
Cerinate Lumineers

Before
00000000000
After
Case Number 3 -
Cerinate Lumineers

Before

After
Case Number 4 -
Cerinate Lumineers

Before

After
Case Number 5 -
Porcelain Crowns

Final Result
Case Number 6 -
Full Mouth Rehabilitation

Final Result
|